Cao răng dù không gây nguy hiểm nhưng đó có thể là tác nhân gây nên những vấn đề răng miệng nghiêm trọng như sâu răng, viêm nướu, tụt lợi,… Bất cứ chúng ta ai cũng sẽ có cao răng chỉ là mức độ ít hay nhiều khác nhau.
Cao răng là gì?
Cao răng (hay vôi răng) là lớp mảng bám tích tụ lâu ngày, bị vôi hóa bởi các khoáng chất trong nước bọt và các mảnh vụn thức ăn, vi khuẩn, bám cứng trên bề mặt răng và nướu. Nếu không được làm sạch, chúng gây kích ứng nướu, hôi miệng và dẫn đến các bệnh răng miệng nguy hiểm như viêm nướu, viêm nha chu, thậm chí làm răng lung lay.

Dù chúng ta vệ sinh răng miệng kỹ đến mức nào thì vẫn tồn tại vi khuẩn trong khoang miệng. Vi khuẩn sẽ tiết axit gây mòn men răng và lắng đọng các protein khoáng hóa tạo thành một mảng bám dính khá chặt chẽ trên răng gọi là mảng bám răng.
Mảng bám cứ tích tụ dần, ngày càng nhiều, trở nên cứng, dày và thẫm màu hơn. Và chúng ta không thể loại bỏ bằng cách chải răng thông thường.
Nguyên nhân khiến cao răng tích tụ nhiều
Chúng ta không thể loại bỏ hoàn toàn cơ chế hình thành cao răng vì chúng ta không thể ngừng ăn uống, ngừng tiết nước bọt. Tuy nhiên, có những người cao răng ít, có người răng bị vôi đóng nhiều.
Nếu chúng ta tiêu thụ các loại thực phẩm, đồ uống chứa nhiều đường, chất bột đường, vi khuẩn trong khoang miệng sẽ hoạt động mạnh mẽ và tạo điều kiện cho việc hình thành mảng bám trên răng.
Việc vệ sinh răng miệng không kỹ càng, không có thói quen lấy cao răng định kỳ cũng có thể khiến vôi răng tích tụ thành mảng lớn và cứng. Những người nhiều cao răng thường là những người không chú trọng vệ sinh răng miệng và không có thói quen khám nha khoa định kỳ.
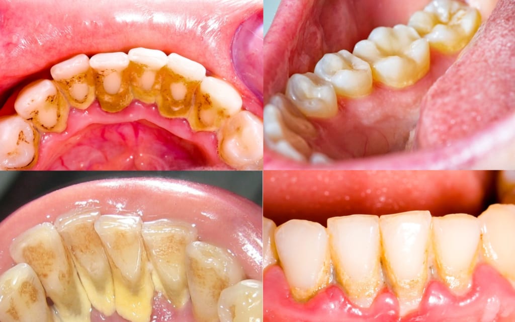
Phân loại và phân độ cao răng
Chúng ta có thể đánh giá tình trạng cao răng theo phân loại và phân độ.
Phân loại cao răng
Cao răng được phân thành các loại gồm:
– Cao răng thường: Cao răng thường có đặc điểm là màu trắng đục hoặc vàng nhạt (thường đậm màu hơn ở người hút thuốc), xuất hiện ở vùng cổ răng. Cao răng thường có thể gây chảy máu chân răng, viêm nướu. Nếu khi chảy máu mà máu ngấm vào cao răng sẽ chuyển thành loại cao răng huyết thanh.

– Cao răng huyết thanh: Hình thành ở nướu dưới, thường có màu đỏ nâu hay nâu đơn. Loại cao răng này chứa nhiều vi khuẩn hơn, dễ gây viêm nướu và nhiễm khuẩn chân răng hơn cao răng thường.

Phân độ cao răng
– Cao răng cấp độ 1: Là cao răng mới hình thành, màu sắc nhạt, mảng cao răng nhỏ và mỏng. Quan sát bằng mắt thường bạn sẽ thấy một dải trắng nhẹ ở viền nướu. Chải răng đều đặn, kỹ càng có thể làm chậm quá trình tích tụ cao răng nhưng không thể loại bỏ cao răng hoàn toàn.
– Cao răng cấp độ 2: Là cao răng cứng và dày hơn nhưng màu vẫn nhạt. Ở giai đoạn này, cao răng đã bám rất chặt vào răng và chỉ có thể loại bỏ bằng dụng cụ nha khoa chuyên dụng.
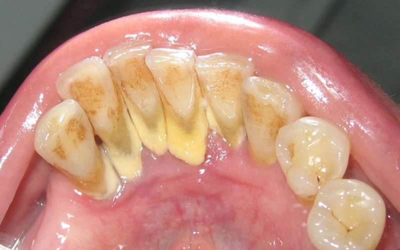
– Cao răng cấp độ 3: Cao răng có màu vàng đậm, đã xuất hiện ở cả mặt trong của răng với kết cấu dày, cứng và rất khó loại bỏ. Có những trường hợp, cao răng cấp độ 3 bám ở cả mặt ngoài của răng.
– Cao răng cấp độ 4: Là cấp độ nặng nhất, màu rất đậm thậm chí nâu đen. Lúc này, cao răng có thể tấn công chân răng, đẩy xuống cả xương hàm và tiềm ẩn nhiều nguy cơ ảnh hưởng đến sức khỏe răng miệng.
Quy trình lấy cao răng tại Nha khoa Vinalign
– Khám răng:
Bước đầu tiên trong quy trình lấy cao răng chính là thăm khám răng. Các bác sĩ cần phải thăm khám tổng quát thì mới có được đánh giá cơ bản nhất về tình trạng răng miệng. Với những trường hợp có mong muốn lấy cao răng, các bác sĩ sẽ kiểm tra về mức độ vôi răng.
– Vệ sinh răng:
Các bác sĩ sẽ tiến hành vệ sinh để làm sạch răng miệng, mục đích chính là tiêu diệt vi khuẩn, giảm nguy cơ nhiễm khuẩn trong quá trình thực hiện loại bỏ cao răng.
– Lấy cao răng:
Khi lấy cao răng, các bác sĩ sẽ dùng sóng siêu âm để tách các mảng bám khỏi chân răng mà không gây ảnh hưởng đến men răng.
Trong quá trình lấy cao răng, một số trường hợp có thể bị chảy máu. Nguyên nhân là vì lớp cao quá dày và ăn sâu xuống chân răng, do đó có thể ảnh hưởng một chút đến lợi, khiến lợi bị tách ra và gây chảy máu. Tuy nhiên, bạn cũng không nên lo lắng vì sau khi răng được vệ sinh sạch sẽ, chăm sóc đúng quy trình thì lợi sẽ phục hồi và bám vào răng như lúc đầu.

Lấy cao răng không gây đau đớn. Nhưng đối với một số trường hợp có cơ địa nhạy cảm, sẽ có cảm giác hơi ê buốt. Bác sĩ sẽ lấy cao răng từ trong ra ngoài, lấy hàm dưới trước và tiêp đó đến hàm trên. Lớp cao răng sẽ dần dần được loại bỏ.
– Thực hiện đánh bóng răng
Sau khi lấy cao răng, bệnh nhân sẽ được vệ sinh và đánh bóng cho răng. Loại thuốc này sẽ được dùng để xoa lên răng nhằm giúp cho răng của bạn trở nên nhẵn mịn và sáng hơn.

– Vệ sinh răng miệng và hướng dẫn chăm sóc răng
Các bác sĩ sẽ thực hiện vệ sinh lại răng miệng và sau đó sẽ hướng dẫn một số vấn đề chăm sóc răng cơ bản. Trong trường hợp bệnh nhân mắc bệnh lý răng miệng, các bác sĩ sẽ có thể hẹn lịch tái khám để điều trị các bệnh về răng cho bệnh nhân.
Cách hạn chế tích tụ cao răng
Chúng ta không thể phòng ngừa cao răng hoàn toàn nhưng chúng ta có cách để hạn chế tích tụ cao răng. Việc này sẽ giúp giảm tần suất lấy cao răng, giảm nguy cơ mắc các bệnh răng miệng, giảm mùi hôi miệng. Một số cách mà bạn có thể áp dụng hàng ngày như:
– Đánh răng sạch sẽ 2 lần mỗi ngày vào buổi sáng và buổi tối trước khi đi ngủ.
– Chọn loại kem đánh răng chứa fluor. Thành phần này có tác dụng sửa chữa men răng bị hư hỏng do vi khuẩn và cao răng. Một số loại kem đánh răng chứa hoạt chất triclosan có thể chống lại tác nhân gây hại có trong mảng bám răng.
– Nên tập thói quen dùng chỉ nha khoa hoặc tăm nước để loại bỏ hiệu quả các mảng bám thức ăn trong kẽ răng và chân răng.
– Súc miệng bằng các loại nước súc miệng kháng khuẩn không cồn, nước muối sinh lý để loại bỏ vi khuẩn và mảng bám.
Thăm khám nha khoa định kỳ và loại bỏ cao răng thường xuyên ngay từ cấp độ 1 và cấp độ 2 là việc cần thiết. Bạn không nên để cao răng tích tụ đến cấp độ 3, cấp độ 4 mới xử lý vì sẽ mất nhiều thời gian hơn và tiềm ẩn nhiều nguy cơ ảnh hưởng đến sức khỏe răng miệng.
Để đặt lịch khám tại nha khoa, Quý khách vui lòng bấm số HOTLINE: 086.203.6333 – 098.675.2233
📍 Địa chỉ:
🏢 73 Hoàng Cầu, Đống Đa, Hà Nội
🏢 Số 7 đường số 6, KĐT Hà Đô Centrosa, P. Hòa Hưng, TP. Hồ Chí Minh
Theo dõi và cập nhật thêm thông tin tại: Trung tâm khay chỉnh nha trong suốt Vinalign Việt Nam